
BAY CITY, MI - McLaren Bay Region's neurosurgery team this month completed the hospital's first brain surgery while the patient was kept awake.
On Jan. 9, a team led by neurosurgeon Dr. Sunil Manjila successfully performed an awake craniotomy on Melissa Dew-Sprague, of Standish. Dew-Sprague had been experiencing long, intense headaches, including one that had lasted six months.
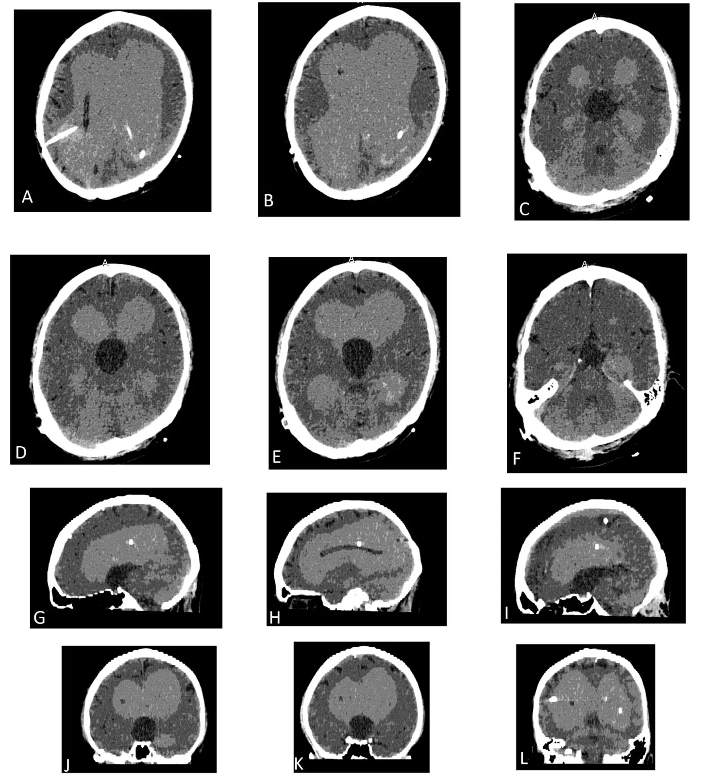
Manjila determined that Dew-Sprague had multiple benign lesions in her brain, but the headaches were centralized in the left cerebral hemisphere, just above her receptive speech area.
"This made it clear that removal of this lesion would provide relief from her headaches," the doctor said.

A craniotomy -- the surgical removal of part of the bone from the skull to expose the brain -- is typically done with the patient under anesthesia, but when operating on more delicate parts of the brain, like in Dew-Sprague's case, there can be a risk of stroke or loss of speech.
"Surgery where the patient is partially awake helps us provide better outcomes," Manjila said.
Dew-Sprague was fully sedated for the opening of her cranial vault. Once open, Certified Registered Nurse Anesthetist David Idzior was charged with waking her up.
"It was definitely a new experience, as during any other surgery, the patient waking up is the last thing you would want," Idzior said. "During this surgery it was the goal, and to not just have her awake, but coherent, comfortable and safe."
During the awake portion of the surgery, a local anesthetic injected into the patient's scalp allowed her to wake up safely while her head was stabilized in three-point metal pins attached to the operating table.
As doctors worked on her brain, they stimulated a section to see if she was able to speak and respond correctly. If she could, it let the surgical team know they could proceed. If she couldn't speak or comprehend accurately, they knew to avoid that section. Majila said it was obvious she had slowing and slurring of words when the portion of her brain where the lesion was located was stimulated. That helped him avoid entering the eloquent speech area of her brain.
The surgery took four hours.
While the surgery was a first for McLaren Bay Region, an awake craniotomy has been routinely practiced throughout North America since the 1980s.
Dew-Sprague was understandably nervous about the idea of having surgery on her brain, albeit while awake for portions of it, but a day after the operation, she didn't have a memory of the event.
"I don't remember a thing about it, which is a relief," she said.
She's now looking forward to a summer without headaches.
"I love kayaking and can't wait to get back to spending time outdoors headache-free," she said.
In addition to Dr. Manjila, Dew-Sprague's care team included Anesthesiologist Lisa Cooper, MD; Radiologist Donald LaBarge III, MD; Neurophysiologist Mike Tacia of Nuvasive, Inc.; Certified Registered Nurse Anesthetist David Idzior Solutions and registered nurses Daley Mirts and Brittany Oakes. Conrad Camp, Cranial Fusion Specialist and VP of Cameron Whiteworth Solutions, offered support with overall workflow and provided surgical implants for closing the cranial vault.